Tamponada cardiaca – Bruno

Pacient: Bruno , ciobanesc de Berna, 14 ani.

Anamneza : de 2 zile nu mai mananca si nu se mai ridica.

Examen clinic : mucoase cianotice , tahipnee, hipotensiune, hipotermie, zgomote cardiace estompate.

Investigatii clinice si paraclinice : Ecografie abdominala si ecografie toracica, hemoleucograma, biochimie sangvina complete si examen radiologic complet. In urma acestor investigatii s-a descoperit urmatoarele :

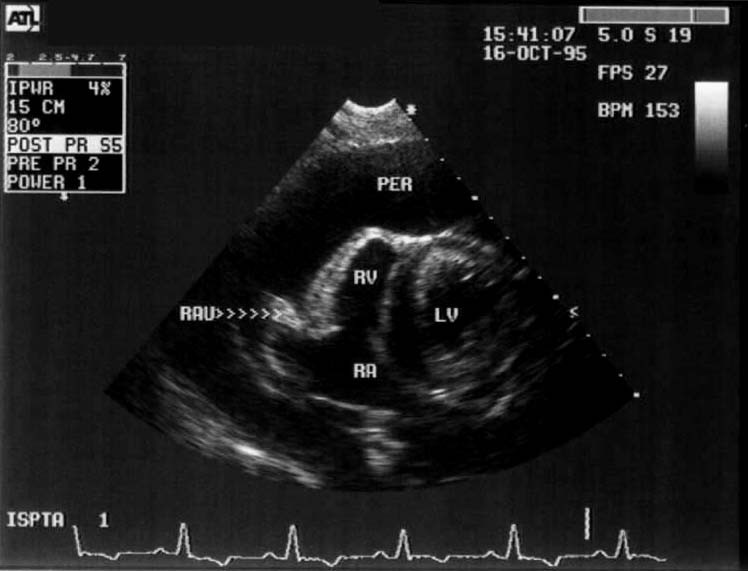
  • Efuzie pericardica
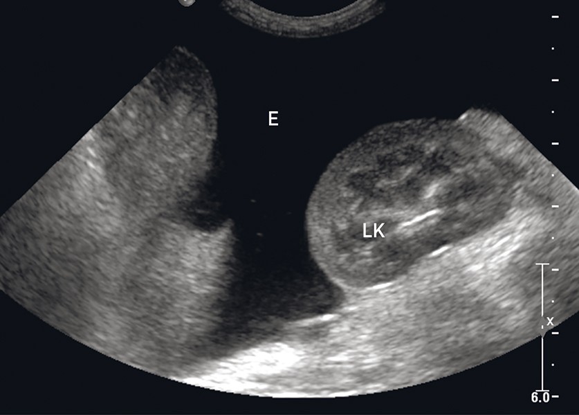
  • Efuzie abdominala
  • Deshidratare severa.

A fost initiat un protocol complex de terapie intensiva pentru stabilizarea pacientului care a constat in :

  • Punctie pericardica, in urma careia au fost evacuati 300 de ml de continut sangvinolent
  • Abdomenocenteza , in urma careia au fost evacuati 4 litri de lichid ascitic.
  • Analgezie
  • Sursa de incalzire externa.

In urma stabilizarii , Bruno a fost consultat de catre medical cardiolog care a diagnosticat o fisura fina la nivelul peretelui atrial drept ce cauza acumularea de sange in cavitatea pericardica.

In prezent Bruno s-a intors acasa cu medicatie cardiaca si revine la recontrol saptamanal pentru punctie.

Lasă un comentariu